Financiación flexible con planes mensuales sin interés

Implantes Dentales Bogotá

En Dentinno te ayudamos a sonreír con confianza gracias a implantes Straumann®, diagnóstico digital iTero y un tratamiento seguro, preciso y con garantía vitalicia.

Implantes sin dolor

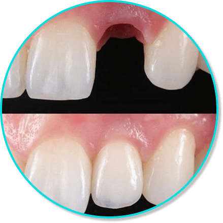
Más de 500 casos exitosos respaldan nuestro trabajo, planificados digitalmente para lograr resultados naturales, predecibles y con mínima molestia.

Descubre cómo nuestros pacientes recuperaron su calidad de vida con Dentinno.

Estas en manos expertas

Somos una IPS certificada y habilitada por la secretaria de salud de Bogotá, contamos con los mejores profesionales en cirugía oral, periodoncia, implantología y Rehabilitación oral, con más de 22 años de experiencia en esta profesión.

Somos expertos en colocación de implantes con una tasa de éxito del 100%, trabajamos de la mano con los mejores implantes a nivel mundial.

Tu nuevo implante paso a paso

Nuestro proceso está diseñado para que te sientas acompañado en cada etapa y entiendas claramente
cómo avanzará tu tratamiento:

Valoración inicial con especialista

Valoracion presencial o virtual con apoyo diagnostico.

Ayudas
diagnósticas

Radiografía Panorámica y Tomografía. según el caso.

Colocación del
implante

Procedimiento rápido (aprox. 40 min), con anestesia digital local para mayor comodidad.

Colocación de la
corona definitiva

Una vez el implante está integrado, se diseña y coloca la corona final.

 

Osteointegración

Entre 3 y 4 meses en la mayoría de casos, o hasta 6 meses si se requiere regeneración ósea.

Financia tus implantes con planes cómodos a tu medida.

Financia tus implantes con planes cómodos a tu medida.

Agenda tu valoración

Trabajamos exclusivamente con Straumann®, la marca número uno a nivel mundial en implantología, reconocida por su calidad, resistencia y soporte clínico.

Osteointegración superior

La superficie SLActive® mejora la integración del implante y acelera la recuperación.

Garantía vitalicia Straumann®

Confianza total en tu inversión a largo plazo.

Resultados comprobados

Ensayos clínicos con seguimientos de hasta 5 años y tasas de éxito superiores al 97%.

¿Cómo saber si necesitas un implante dental?

Perdiste algún diente

Si usas prótesis

Si buscas una solución definitiva y natural para tu sonrisa.

Sobre implantes dentales

Trabajamos exclusivamente con Straumann®, la marca número uno a nivel mundial en implantología, reconocida por su calidad, resistencia y soporte clínico.

Preguntas frecuentes

No. Utilizamos anestesia digital local, que hace el proceso cómodo y controlado. La terapia láser postquirúrgica ayuda a acelerar la recuperación.

Con los cuidados adecuados, un implante Straumann® se mantiene en óptimas condiciones durante toda la vida.

La cirugía dura alrededor de 40 minutos. La integración del implante toma entre 3 y 4 meses, o hasta 6 meses en casos de regeneración ósea.

Sí. Ofrecemos financiación con Addi y Medipay, además de pago por fases.

Puedes iniciar tu tratamiento desde 2 millones. El valor exacto dependerá de tu diagnóstico y necesidades específicas.

No siempre. Gracias a la tecnología y los implantes Roxolid®, muchos casos pueden realizarse sin injerto adicional.

Con una valoración gratuita te daremos un diagnóstico completo y te explicaremos el plan ideal para ti.